入れ歯・義歯
このページの目次
審美性・機能性の高い快適な入れ歯をご提供いたします

歯を失った方でインプラントが難しいという方や外科処置はできるだけ受けたくないという方には入れ歯治療をご提案いたします。御影歯科クリニックでは、保険適用の入れ歯をはじめ、様々な特徴のある自費の入れ歯まで様々な種類を取り揃えており、見た目はもちろん、しっかり噛めることや長持ちなどにこだわった快適な入れ歯のご提供に努めております。初めて入れ歯を製作される方、入れ歯を新調されたい方もお気軽にご相談ください。
御影歯科クリニックで製作可能な自費入れ歯のご紹介
入れ歯は保険で製作することができますが、最低限の歯の機能を修復するということが目的となるため、素材や工程が限られており、見た目や機能性については二の次となってしまいます。
一方、自費で製作する入れ歯については患者さまのお悩みやご希望を考慮し、適した素材を選択できるため、見た目はもちろん、快適な咀嚼やフィット感などにもこだわった精密な入れ歯を製作することが可能となります。以下では、御影歯科クリニックで製作可能な自費の入れ歯についてご紹介いたします。
ノンクラスプデンチャー

保険適用の部分入れ歯はクラスプと呼ばれる金属のバネを残存歯に引っ掛けて固定しますが、ノンクラスプデンチャーはクラスプ(金属のバネ)がなく、歯肉の色調に近い樹脂で固定するため、見た目が良く、周囲に入れ歯と気づかれにくいことが特徴です。樹脂は弾力性もあるため、安定性も高く、残存歯への負担も少ないです。
金属床デンチャー

金属床デンチャーは、入れ歯の土台部分(床)にチタンやコバルトクロムなどの金属を使用している入れ歯です。頑丈な金属を土台部分に使用することによって、入れ歯を薄く製作できるため、装着時の違和感や異物感が少なく、食事や会話がしやすいことが特徴です。さらに金属は熱伝導率が高く、飲食物の温度が伝わりやすいため、より一層食事を楽しむことができます。
マグネットデンチャー

マグネットデンチャーは、残存歯の歯根部分に磁性キーパーという金属を埋入し、入れ歯側に設置した磁石との引き合う力によって固定する入れ歯です。強力な磁力でピッタリと吸着するため、入れ歯が安定してしっかり噛むことができます。また、磁石やキーパーは外側からは見えないため、審美性も高いことが特徴です。
インプラントオーバーデンチャー

インプラントオーバーデンチャーは顎骨に埋入したインプラントを支柱として入れ歯を固定します。顎骨としっかり結合したインプラントが支えとなるため、食事や会話の際にズレたり、外れたりすることがほとんどなく、快適な咀嚼が可能です。
審美性・機能性を兼ね備えたBPSエステティックデンチャー
BPSエステティックデンチャーは、「BPSシステム」というヨーロッパの先端義歯製作技術を駆使して製作するフルオーダーメイドの精密入れ歯です。
BPSエステティックデンチャーは、製作工程がシステム化されており、患者さま一人ひとりの口腔内の状態、ご要望などを取り入れて製作されるため、見た目が良く、痛みも少なく、しっかり噛むことができます。さらに本来の咬み合わせを適切に再現できるため、調和のとれた生体を取り戻すことができます。
入れ歯治療のリスク・注意点について
- 金属を使用する入れ歯は金属アレルギーのリスクがあります。
- 選択する素材やご要望によって自費診療の扱いとなるため、治療費が高額になる場合があります。
- 入れ歯は日々の使用によって摩耗、劣化するため、定期的な調整や新調が必要となります。
- 入れ歯は高いところから落としたり、熱湯をかけたりすると、破損・変形する可能性があります。
- 選択する入れ歯によって、歯の切削や外科処置が必要となります。など
金属に嫌悪感がある患者に対して欠損部をノンクラスプデンチャーで改善した症例
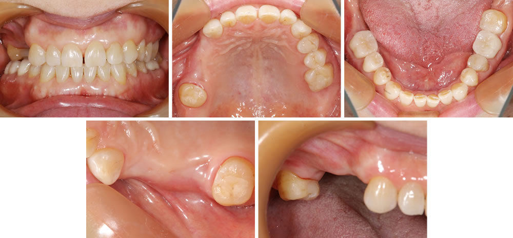
こちらは右上の歯茎が痛いという主訴で来院された患者さまです。
初診時の状態
10年以上前に金属が嫌で右上の金属の被せ物を除去してもらって、そのままになっているとのことでした。しっかり噛めるようにしたいが金属には抵抗があるので金属は入れたくないとの要望がありました。
カウンセリングで治療方針の決定
当院では、治療を行う前に必ずカウンセリングというお話し合いをする時間を設けております。患者さまのご要望をしっかりとお聞きして、当院で可能な治療方法をいくつかご提示させて頂いて、それぞれのメリット・デメリットや治療期間、治療費などをご説明させて頂いた状態で、患者さまご要望に沿うものを選択していただくという流れです。
こちら患者さまは、金属が口腔内に入ったままの状態が嫌で、被せ物を外した状態で放置していた歯が多数あり、奥歯に保存不可能な歯が残っているという状態でした。しっかり噛めるようにしたいという要望があり、インプラント治療を提案しましたが、金属に対して抵抗感が強かったため、インプラント治療は行いたくないとの事でした。
保存不可能な歯は抜歯し、欠損部に関しては自費で作成する金具を用いない入れ歯(ノンクラスプデンチャー)で治療し、保存可能な歯はセラミックで治療するという計画としました。
【治療方針】
- 右上46:抜歯 → 右上456:ノンクラスプデンチャー
- 左下8、左上7、右下7:抜歯 → 最後方歯で噛み合わせが詰まっているためそのまま
- 右下56、左下6:セラミッククラウン
- 左下57、左上5:セラミックインレー
保存不可能な歯を抜歯
保存不可能な歯を抜歯し、歯茎と骨が治癒するまで待ちます。治癒を待っている間にセラミックの治療を行っていきます。
セラミック治療後および右上欠損部治癒後
抜歯を行なって6ヵ月経過した状態です。
入れ歯を作成するにあたって、歯を抜いた直後はまだ歯茎や骨の治癒が行われていないため、適合の良い入れ歯を作る事ができません。抜歯をした後の歯茎はボリュームが減少して形が変化していきます。
目安としては3ヵ月目までが大幅に変化し、6ヵ月目ぐらいまで微妙に変化していきます。しっかりと歯茎や骨の変化が落ち着いたタイミングで入れ歯を作成する事が適合の良い入れ歯を作成するためのポイントです。
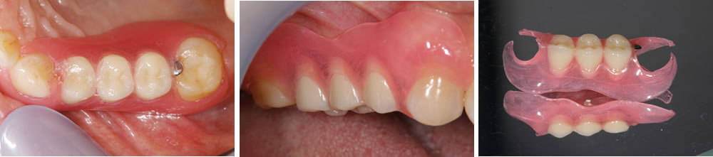
ノンクラスプデンチャーの装着・治療完了
インプラント治療ではなく、右上欠損部をノンクラスプデンチャーで治療しましたが、右上7番を保存することができた事によって、ノンクラスプデンチャーが前後の歯でしっかりと安定した状態を作る事ができました。それによって、患者さんのしっかり噛みたいという要望にも応える事ができ、非常に満足されていました。
入れ歯の沈み込み防止のために、最後方の歯には強度のあるメタルレストを使用させて頂きましたが、取り外しのできるものでこれぐらいなら気にならないとの事でご了承頂きました。歯に引っかける部分に金属を使用していないので、装着時も目立たずに見た目も気にならないので嬉しいとおっしゃっていました。
| 年齢/性別 | 70代/女性 |
|---|---|
| 治療期間 | 8ヵ月 |
| 治療回数 | 18回 |
| 治療費 | 1,000,100円(税込) ※内ノンクラスプデンチャー費用 165,000円(税込) |
| リスクなど | ・部分的に強い力がかかると、入れ歯が破損する可能性があります。 ・経年的に入れ歯の適合度合いが悪くなる可能性があります。 |
入れ歯の精度を高めるためのこだわりについて
御影歯科クリニックでは、患者さま一人ひとりのお口にフィットする快適な入れ歯を製作するため、一つひとつの工程にこだわり、入れ歯の精度向上に努めております。入れ歯の審美性・機能性・耐久性を高めるための当院のこだわりについてご紹介いたします。
実績豊富な歯科技工士との連携

入れ歯は歯科医師が収集した口腔内の情報を基に歯科技工士が製作します。当院では、入れ歯製作の実績豊富な歯科技工士と密に連携を図り、精密な入れ歯の提供に努めております。
型ズレしにくいシリコン材で型取り

精密な入れ歯を製作するためには、入れ歯の設計図となる型取りが重要となります。当院では、型ズレが起こりにくいシリコン材を使用し、型取りの精度向上に努めております。
個人トレーを用いた筋圧形成

咀嚼時や装着時の違和感を軽減するためには、口腔内の粘膜の動きや癖などを考慮して入れ歯を製作する必要があります。当院では、口腔粘膜の動きや癖などを記録する筋圧形成の際に患者さま一人ひとりのお口に合わせて製作した個人トレーを用いて情報を採取し、入れ歯へ反映させます。
咬み合わせの専門医師による咬合調整

咀嚼時に部分的に大きな負担がかかったり、左右のバランスが悪いと、入れ歯の劣化が早まったり、破損などの原因となります。当院では、入れ歯完成後に実際に入れ歯をお口に装着していただき、咬み合わせの専門医師が徹底した咬合調整を実施いたします。
兵庫県東灘区御影でよく噛める・痛くない入れ歯をご希望の方へ

御影歯科クリニックでは、患者さま一人ひとりのお口に合う快適な入れ歯をご提供するため、様々な特徴の入れ歯を豊富に取り揃え、審美性・機能性・耐久性の向上に努めております。兵庫県東灘区御影でよく噛める・痛くない入れ歯をご希望の方はぜひ、当院までお気軽にご相談ください。







